美しくするだけの治療ではなく、
しっかり噛める歯を目指します。

無料相談も承ります。お気軽にお問い合わせください。
ガミースマイル治療も対応しています



無料相談も承ります。お気軽にお問い合わせください。
ガミースマイル治療も対応しています




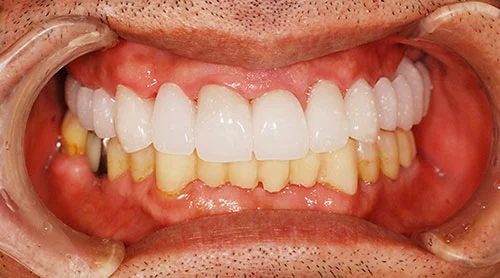
当院のセラミック治療は、美しいお口元を実現するだけでなく、「綺麗でしっかりと噛める歯」を提供します。
この実現のための取り組みをご紹介します。

患者さんが求める美しさを実現するために、随時イメージのすり合わせをしながら治療を進めていきます。

治療前のカウンセリングで、患者さんの理想の歯のイメージをお聞きし、色見本や模型を使用して具体的なイメージを共有します。

患者さんの歯型を取り、模型を作成します。模型を用いて、歯の形や配置の具体的なイメージを確認します。歯の形が決まったら、次に仮歯を作り、お口に合わせて調整を行います。

セラミック治療は口元を美しく整えるだけでなく、適切な噛み合わせも確保する必要があります。美しいだけではなく、しっかり噛める状態を作らないと、顎関節症などの問題が発生する可能性があります。
まず、患者さんとのイメージのすり合わせを行い、その後、仮歯(プロビジョナル・レストレーション)を作成します。仮歯を一定期間装着していただき、患者さんの希望とずれがないか最終確認を行います。見た目の美しさはもちろん、以下の点も重視します。
・噛み合わせに問題がないか
・きちんと噛むことができるか
・耐久性に問題がないか
特に噛み合わせについては細心の注意を払い、顎の正しい位置を確認しながら何度でも仮歯を調整します。患者さんにご満足いただいた上で、仮歯を基に最終的な被せ物を完成させます。

光学スキャナーはデジタル機器を使用してお口の中を撮影し、口腔内の形状のデータを取り込む装置です。従来の方法では、粘土のような型取り剤をお口に入れて固まるまで待つ必要がありましたが、これを苦手に感じる方も多くいました。しかし、光学スキャナーを使用することで、このようなストレスがまったくなくなりました。

私たちが常に意識しているのは、患者さんの理想を実現することの重要性です。この理想は個々の「主観的な美しさ」に基づいていますが、日本橋すこやか歯科・矯正歯科ではそれだけではありません。患者さんの主観的な「美」の理想に加えて、専門的な観点からの「客観的な美しさ」を融合させたセラミック治療を提供しています。

笑った際に、下唇のアーチと歯並びのアーチを一致させることで、口元の美しさが際立ちます。
山崎長郎著『エステティック クラシフィケーションズ(クインテッセンス出版)』より引用

「中切歯」「側切歯」「犬歯」の比率を1.618:1:0.618にすることで、前歯の美しさが向上します。
山崎長郎著『エステティック クラシフィケーションズ(クインテッセンス出版)』より引用

正中線とは、顔の中心にあるラインのことです。上前歯の中心ラインを正中線に合わせることで、全体的にバランスの取れた歯並びが実現します。

口元の美しさには「歯茎」も重要な要素です。
当院では、歯茎の生物学的幅径に配慮し、適合性の高い被せ物を作成しています。

当院では、歯の色や形を美しくするだけでなく、歯周外科的な手法を用いて歯肉を整えることも可能です。
これにより、「ガミースマイル」の改善が可能です。ガミースマイルとは、お口を開けた際に歯茎が極端に露出してしまう状態を指します。この問題に悩んでいる方は多いですが、対応できる医院は少ないです。
詳しくはお気軽にご相談ください。
当院では、患者さんが抱えていらっしゃるお口のお悩みや疑問・不安などにお応えする機会を設けております。どんなことでも構いませんので、私たちにお話ししていただけたらと思います。
ご興味がある方は下記からお問い合わせください。
